Các nhà khoa học đã phát hiện ra vai trò chủ yếu của một "gene chủ" chịu trách nhiệm về sự phát triển của phôi thai khi họ chỉnh sửa DNA của con người

Tiến sĩ Kathy Niakan – thuộc Học viện Francis Crick London (Anh), đang nghiên cứu phôi thai phát triển dưới kính hiển vi – Ảnh: MailOnline
Họ đã sử dụng phương pháp đang gây nhiều tranh cãi là hệ thống CRISPR-Cas9 để chỉnh sửa các phôi thai người đang phát triển để xem điều gì sẽ xảy ra khi loại bỏ một gene chính.
Họ phát hiện ra rằng có một protein tên là OCT4 góp phần quyết định cho phôi thai phát triển bình thường hoặc tự hủy đi.
Một trong các ứng dụng của nghiên cứu là nhằm tăng khả năng thành công của phương pháp thụ thai trong ống nghiệm (IVF). Trước đây, chỉ có 12% số phôi đạt chuẩn để cấy vào tử cung người mẹ, giới y khoa vẫn chưa tìm được nguyên nhân vì sao tỷ lệ phôi đạt chuẩn lại thấp như thế.
Tại Anh, cứ trong bốn cặp vợ chồng lại có một cặp gặp vấn đề về khả năng thụ thai. Những phụ nữ dưới 35 tuổi chỉ đạt 32,2% khả năng sinh con thành công khi áp dụng một lần thụ thai trong ống nghiệm, tỷ lệ giảm xuống còn 27,7% đối với phụ nữ ở độ tuổi 35 đến 37, và 20,8% cho độ tuổi 38-39.
Nhưng với phát hiện này, giới khoa học đã nhận dạng được các gene là thủ phạm trong việc gây ra các phôi bị lỗi. Họ hy vọng rằng phát hiện mới này sẽ giúp cải thiện tỷ lệ thành công của phương pháp thụ thai trong ống nghiệm.

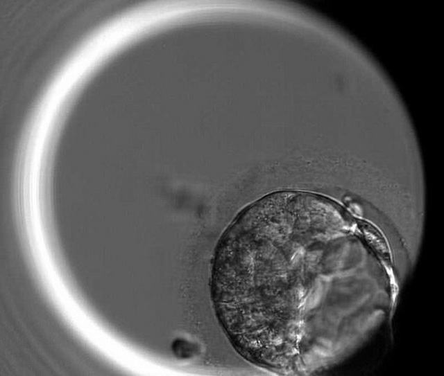
Ảnh chụp một phôi thai 5 ngày tuổi không có protein OCT4, do đó, nó không hình thành được túi phôi – Ảnh: MailOnline
"Nghiên cứu của chúng tôi là công trình đầu tiên trong việc chỉnh sửa gene để hiểu rõ hơn về vai trò của một gene nào đó trong sự phát triển ban đầu của phôi thai", tiến sĩ Kathy Niakan – thuộc Học viện Francis Crick London (Anh), người chủ trì công trình nghiên cứu trên nói.
"Kết quả nghiên cứu có thể áp dụng để cải thiện quá trình xử lý thụ thai trong ống nghiệm và giúp hiểu biết thêm về tại sao một số trường hợp lại bị hư phôi".
Nhóm nghiên cứu áp dụng các kỹ thuật chỉnh sửa gene để ngăn một gene chủ lực sản xuất ra protein OCT4, protein này sẽ hoạt động trong các ngày đầu tiên của tiến trình phát triển của phôi thai
Sau khi trứng đã thụ tinh, nó sẽ bắt đầu tự phân chia cho đến ngày thứ 7, khi đó nó hình thành một quả cầu có chứa khoảng 200 tế bào gọi là "túi phôi", phôi thai cần có protein OTC4 để túi phôi phát triển tốt.
Nếu gene chủ không sản xuất protein OCT4 thì sẽ ảnh hưởng đến việc hình thành túi phôi và dĩ nhiên dẫn đến hư phôi thai.
Nghiên cứu trên đã được công bố trên tạp chí khoa học Nature.
Vấn đề chỉnh sửa gene của phôi thai đang gây ra nhiều tranh cãi và bị chỉ trích vì sẽ tạo ra những đứa bé được "thiết kế" sẵn.
Đây là lần đầu tiên phương pháp CRISPR-Cas9 được sử dụng để nhận dạng các gene chủ yếu gây ra việc hư phôi thai.
Các nhóm nghiên cứu ở Mỹ và Trung Quốc cũng áp dụng biện pháp chỉnh sửa gene với các mục đích khác, như loại bỏ các gene bị hư hỏng sẽ gây nên các bệnh về di truyền cho đứa bé sinh ra.

Bình luận (0)